植物研究 ›› 2025, Vol. 45 ›› Issue (4): 580-591.doi: 10.7525/j.issn.1673-5102.2025.04.010

• 研究论文 • 上一篇    下一篇

拟南芥细胞组蛋白分子伴侣HIRA对增强UV-B辐射的响应

毛倩雯1,2, 王国华1,2, 韩榕1,2   

  1. 1.山西师范大学生命科学学院,太原 030000
    2.植物大分子逆境响应山西省重点实验室,太原 030000
  • 收稿日期:2025-02-21 出版日期:2025-07-20 发布日期:2025-07-25
  • 作者简介:毛倩雯(1998—),女,硕士研究生,主要从事细胞生物学研究。
  • 基金资助:
    国家自然科学基金面上项目(30671061)

Response of Arabidopsis thaliana Histone Chaperone HIRA to Enhanced UV-B Radiation

Qianwen MAO1,2, Guohua WANG1,2, Rong HAN1,2   

  1. 1.School of Life Sciences,Shanxi Normal University,Taiyuan 030000
    2.Shanxi Key Laboratory of Plant Macromolecules Stress Response,Taiyuan 030000
  • Received:2025-02-21 Online:2025-07-20 Published:2025-07-25

摘要:

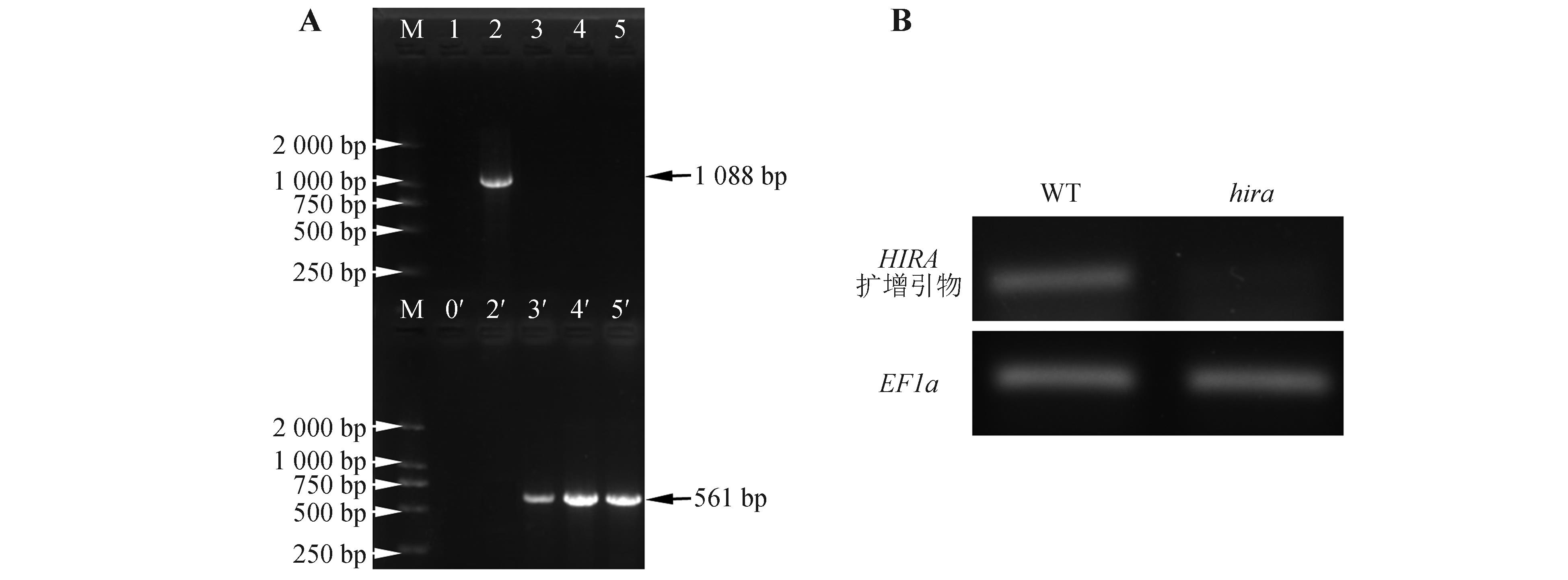
UV-B辐射对植物生长有显著抑制作用,导致根系短小和DNA损伤。研究发现,组蛋白分子伴侣HIRA(HISTONE REGULATOR A)在染色质相关的DNA损伤修复中发挥作用。该研究以哥伦比亚生态型拟南芥(Arabidopsis thaliana)及hira突变体为材料,比较对照组(-UV-B)和UV-B处理组(+UV-B)的表型及生理指标,结果显示:HIRA基因缺失导致拟南芥根系变短、植株矮小。UV-B处理后,hira突变体的根长显著短于野生型,根部活性氧和丙二醛含量增加,而根部可溶性蛋白质含量和叶片叶绿素含量下降。拟南芥遗传转化亚细胞定位结果显示,HIRA定位于细胞核,UV-B辐射引发突变体根尖分生区细胞出现染色体桥和异常有丝分裂。进一步研究结果表明,UV-B辐射显著上调了DNA损伤修复基因的表达。综上,UV-B辐射下,HIRA参与拟南芥根尖细胞有丝分裂及损伤修复过程。

关键词: 组蛋白分子伴侣, UV-B, 异常有丝分裂, DNA损伤修复

Abstract:

UV-B radiation significantly inhibits plant growth, leading to short roots and DNA damage. Research has shown that the histone chaperone HIRA(HISTONE REGULATOR A) plays a role in chromatin-related DNA damage repair. In this study, using the Columbia ecotype of Arabidopsis thaliana and the hira mutant as materials, the comparison of phenotypic and physiological indicators between the control group (-UV-B) and the UV-B treatment group(+UV-B) revealed that the absence of the HIRA gene led to shorter roots and smaller plants in A. thaliana. After UV-B treatment, the roots of hira mutant were significantly shorter than those of the wild type, with increased levels of reactive oxygen species and malondialdehyde, and decreased levels of soluble protein and chlorophyll. Subcellular localization of A. thaliana transformation showed that HIRA was located in the nucleus. UV-B radiation caused chromosome bridges and abnormal mitosis in the root tip meristematic zone cells of the mutant. Further research results indicated that UV-B radiation significantly upregulated the expression of DNA damage repair related genes. In conclusion, HIRA was involved in the process of cell mitosis and damage repair under UV-B radiation.

Key words: histone chaperone HIRA, UV-B, abnormal mitosis, DNA damage repair

中图分类号: