植物研究 ›› 2026, Vol. 46 ›› Issue (1): 120-130.doi: 10.7525/j.issn.1673-5102.2026.01.011
收稿日期:2024-12-13
出版日期:2026-01-20
发布日期:2026-01-20
通讯作者:
章英才
E-mail:yingcaizh@163.com
作者简介:马小玲(2003—),女,本科生,主要从事植物资源保护与利用研究。
基金资助:
Xiaoling MA, Yingcai ZHANG(
), Jing WANG, Guoqi ZHENG
Received:2024-12-13
Online:2026-01-20
Published:2026-01-20
Contact:
Yingcai ZHANG
E-mail:yingcaizh@163.com
摘要:
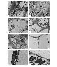
阿拉伯半乳糖蛋白(AGPs)在果实的成熟与软化中发挥重要作用,为了探讨灵武长枣(Ziziphus jujuba ‘Lingwu Changzao’)果实发育过程中AGPs的分布特征和动态变化规律,该研究使用单克隆抗体JIM13,采用胶体金免疫电镜技术,对4个不同发育时期灵武长枣果实超微结构特征及AGPs的免疫细胞分布进行分析。结果表明:使用10 nm胶体金颗粒对果实标记后,在膨大前期,韧皮部的薄壁细胞和离维管束较远的薄壁细胞内部和细胞壁上均分布有大量的胶体金颗粒,细胞内的液泡、质体等细胞器中也有胶体金颗粒的分布;在快速膨大期,筛管分子和离维管束较远的薄壁细胞的细胞壁及细胞内部均分布有大量的胶体金颗粒;在着色期,维管束韧皮部的筛管、伴胞和薄壁细胞,以及离维管束较远的薄壁细胞的细胞壁及细胞内部胶体金颗粒的分布较少;在完熟期,维管束韧皮部的伴胞及离维管束较远的薄壁细胞在细胞壁上及靠近质膜部位分布有少量的胶体金颗粒,并且细胞内部的胶体金颗粒数量较少,在囊泡、线粒体、质体及中央大液泡上分布有零星的胶体金颗粒。研究认为,果实AGPs主要分布在细胞壁上、靠近质膜的区域、细胞内部及细胞器上;不同发育时期果实AGPs的分布存在一定的差异,在膨大前期和快速膨大期细胞壁及细胞内部AGPs分布较多,在着色期和完熟期细胞壁及细胞内部AGPs分布的数量较少。上述结果为揭示AGPs对果实品质的影响提供细胞学依据。
中图分类号:
马小玲, 章英才, 王静, 郑国琦. 灵武长枣果实发育过程中阿拉伯半乳糖蛋白胶体金免疫分布特征[J]. 植物研究, 2026, 46(1): 120-130.
Xiaoling MA, Yingcai ZHANG, Jing WANG, Guoqi ZHENG. The Colloidal Gold Immune Distribution Characteristics of Arabinogalactan Proteins during Fruit Development of Ziziphus jujuba ‘Lingwu Changzao’[J]. Bulletin of Botanical Research, 2026, 46(1): 120-130.
| [1] | LESZCZUK A, SZCZUKA E, LEWTAK K,et al.Effect of low temperature on changes in AGP distribution during development of Bellis perennis ovules and anthers[J].Cells,2021,10(8):1880. |
| [2] | LESZCZUK A, CYBULSKA J, SKRZYPEK T,et al.Properties of arabinogalactan proteins (AGPs) in apple(Malus×Domestica) fruit at different stages of ripening[J]. Biology,2020,9(8):225. |
| [3] | BAUMANN A, PFEIFER L, CLASSEN B.Arabinogalactan-proteins from non-coniferous gymnosperms have unusual structural features[J].Carbohydrate Polymers,2021,261:117831. |
| [4] | WILLATS W G T, KNOX J P.A role for arabinogalactan-proteins in plant cell expansion:evidence from studies on the interaction of β-glucosyl Yariv reagent with seedlings of Arabidopsis thaliana [J].The Plant Journal,1996,9(6):919-925. |
| [5] | VICRÉ M, SANTAELLA C, BLANCHET S,et al.Root border-like cells of Arabidopsis microscopical characterization and role in the interaction with rhizobacteria[J].Plant Physiology,2005,138(2):998-1008. |
| [6] | 胡欣.βGlcY对拟南芥根发育的影响及AGPs基因干扰载体的构建与油菜遗传转化[D].武汉:湖北大学,2016. |
| HU X.Influence on root development in Arabidopsis by βGlcY and construction of AGPs gene interference vectors and the genetic transformation in Brassica [D].Wuhan:Hubei University,2016. | |
| [7] | 林苏娥.白菜花粉壁发育相关的四个多糖代谢基因的表达分析与功能鉴定[D].杭州:浙江大学,2014. |
| LIN S E.Expression and functional characterization of four polysaccharide metabolism genes related to pollen wall development in Brassica campestris ssp. chinensis[D].Hangzhou:Zhejiang University,2014. | |
| [8] | 项青.番茄斑萎病毒利用寄主植物阿拉伯半乳糖蛋白AGP调控自身侵染的机制研究[D].南京:南京农业大学,2019. |
| XIANG Q.Molecular mechanism of tomato spotted wilt virus utilizing the host plant arabinogalactan protein to facilitate viral infection[D].Nanjing:Nanjing Agricultural University,2019. | |
| [9] | LESZCZUK A, ZAJĄC A, KURZYNA-SZKLAREK M,et al.Investigations of changes in the arabinogalactan proteins(AGPs) structure,size and composition during the fruit ripening process[J].Scientific Reports,2020,10(1):20621. |
| [10] | 齐国亮.气象因子对宁夏枸杞外观品质及药用成分多糖积累的影响[D].银川:宁夏大学,2015. |
| QI G L.Influence of meteorological factors on the appearance quality of Lycium barbarum L.and the accumulation of medicinal composition of Lycium barbarum polysaccharides[D].Yinchuan:Ningxia University,2015. | |
| [11] | 王静,章英才,陶珊珊.灵武长枣果实发育过程中阿拉伯半乳糖蛋白组织化学分布[J].植物研究,2022, 42(6):1106-1120. |
| WANG J, ZHANG Y C, TAO S S.Histochemical localization of arabinogalactan proteins during fruit development from Ziziphus jujuba ‘Lingwu Changzao’[J].Bulletin of Botanical Research,2022,42(6):1106-1120. | |
| [12] | 梁艳丽.水稻苗期叶片细胞壁对稻瘟病菌侵染的响应研究[D].昆明:云南农业大学,2016. |
| LIANG Y L.Response of rice leaves cell wall to Magnaporthe oryzae infection at seedling stage[D].Kunming:Yunnan Agricultural University,2016. | |
| [13] | 刘云霞,张青文,周明.电镜免疫胶体金定位水稻内生细菌的研究[J].农业生物技术学报,1996,4(4):354-358. |
| LIU Y X, ZHANG Q W, ZHOU M.Immuno-gold staining techniques for detection of endophytic bacteria in rice plant[J].Chinese Journal of Agricultural Biotechnology,1996,4(4):354-358. | |
| [14] | 李金娜.温度结合低压静电场对灵武长枣贮藏保鲜效果的研究[D].银川:宁夏大学,2019. |
| LI J N.Study on the effect of temperature combined with low voltage electrostatic field on the storage and preservation of Ziziphus jujuba Mill cv.Lingwu changzao[D].Yinchuan:Ningxia University,2019. | |
| [15] | 张晓波,苏伟东,章英才.灵武长枣研究进展[J].北方园艺,2014,38(22):200-203. |
| ZHANG X B, SU W D, ZHANG Y C.Research progress on Ziziphus jujuba Mill cv.‘lingwuchangzao’[J].Northern Horticulture,2014,38(22):200-203. | |
| [16] | 王静,章英才,陶珊珊,等.果胶酶对灵武长枣果实发育中阿拉伯半乳糖蛋白分布的影响[J].植物研究,2024,44(1):62 -74. |
| WANG J, ZHANG Y C, TAO S S,et al.Effects of pectinase on the distribution of arabinogalactan proteins in developing fruit of Ziziphus jujuba ‘Lingwu Changzao’[J].Bulletin of Botanical Research,2024,44(1):62 -74. | |
| [17] | LESZCZUK A, KALAITZIS P, BLAZAKIS K N,et al.The role of arabinogalactan proteins(AGPs) in fruit ripening-a review[J].Horticulture Research,2020,7(1):176. |
| [18] | 秦源,陈丹,赵洁.烟草柱头和花柱中阿拉伯半乳糖蛋白的定位[J].植物生理与分子生物学学报,2006, 32(3):307-314. |
| QIN Y, CHEN D, ZHAO J.The localization of arabinogalactan-proteins in stigma and style of Nicotiana tabacum L.[J]. Journal of Plant Physiology and Molecular Biology,2006,32(3):307-314. | |
| [19] | 王静,章英才,陶珊珊.灵武长枣果实阿拉伯半乳糖蛋白免疫荧光定位[J].电子显微学报,2022,41(3):293-307. |
| WANG J, ZHANG Y C, TAO S S.Immunofluorescence localization of arabinogalactan proteins in Ziziphus jujuba Mill cv.Lingwuchangzao fruit[J].Journal of Chinese Electron Microscopy Society,2022,41(3):293-307. | |
| [20] | 杜琳.富含羟脯氨酸糖蛋白(HRGPs)在冬瓜-枯萎病菌互作中的诱导调控及亚细胞定位分析[D].南昌:江西农业大学,2014. |
| DU L.Inducible regulation and subcellular localization analyses of the hydroxyproline-rich glycoproteins(HRGPs) in interaction between wax gourd and Fusarium oxysporum Schlf.Sp.Benincasae[D].Nanchang:Jiangxi Agricultural University,2014. | |
| [21] | 巩万奎.阿拉伯半乳糖蛋白及其在植物细胞分化中的作用[J].生物技术通报,1999,15(4):12-15. |
| GONG W K.Arabinogalactan-proteins and their roles in plant cell differentiation[J].Biotechnology Bulletin,1999,15(4):12-15. | |
| [22] | 秦源,赵洁.阿拉伯半乳糖蛋白在被子植物有性生殖中的作用[J].植物生理与分子生物学学报,2004, 30(4):371-378. |
| QIN Y, ZHAO J.The roles of arabinogalactan-proteins in sexual reproduction of angiosperms[J].Journal of Plant Physiology and Molecular Biology,2004,30(4):371-378. | |
| [23] | LESZCZUK A, CHYLIŃSKA M, ZDUNEK A.Enzymes and vitamin C as factors influencing the presence of arabinogalactan proteins(AGPs) in Solanum lycopersicum fruit[J].Plant Physiology and Biochemistry,2019,139:681-690. |
| [1] | 杜玙琦, 尹赜鹏. 光对果实香气品质影响研究进展[J]. 植物研究, 2025, 45(2): 159-170. |
| [2] | 王静, 章英才, 陶珊珊, 杨雪. 果胶酶对灵武长枣果实发育中阿拉伯半乳糖蛋白分布的影响[J]. 植物研究, 2024, 44(1): 62-74. |
| [3] | 王仁睿, 刘鑫, 李杰. 濒危植物春剑的胚胎发育及果实和种子特征研究[J]. 植物研究, 2023, 43(6): 953-960. |
| [4] | 王静, 章英才, 陶珊珊. 灵武长枣果实发育过程中阿拉伯半乳糖蛋白组织化学分布[J]. 植物研究, 2022, 42(6): 1106-1120. |
| [5] | 陈华峰, 唐玉情, 潘亚婕, 郭晓瑞. 果实风味的代谢基础及其调控机制研究进展[J]. 植物研究, 2021, 41(3): 474-480. |
| [6] | 王思涵, 杨涛, 张金柱, 董婕, 寇志玲, 车代弟. 野生玫瑰果实发育过程中种子的细胞组织结构和内源激素变化对其休眠性的影响[J]. 植物研究, 2021, 41(3): 387-394. |
| [7] | 邓贤兰, 陈霞霞, 张争光. 井冈山地区18种唇形科植物果实形状及表面微形态特征研究[J]. 植物研究, 2020, 40(6): 820-829. |
| [8] | 曹董玲, 张学杰, 刘玫. 独行菜族8属(十字花科)植物果实及种子微形态研究[J]. 植物研究, 2019, 39(5): 673-682. |
| [9] | 周敏, 蒋丹, 刘玥秀, 王小蓉, 汤浩茹, 陈清. P119驱动amiRNA介导的PL基因沉默对草莓果实硬度的影响[J]. 植物研究, 2019, 39(3): 441-449. |
| [10] | 杜庆鑫, 庆军, 王璐, 刘攀峰, 何凤, 朱利利, 杜红岩. 杜仲种质资源果实主要数量性状变异及概率分级[J]. 植物研究, 2019, 39(3): 387-394. |
| [11] | 陈龙涛, 杨博文, 王迎男, 樊明寿. 钙试剂处理对早期榛子果实发育与成果率的影响[J]. 植物研究, 2018, 38(4): 597-603. |
| [12] | 昝鹏, 张琳, 祖元刚, 杨磊, 丛赢. 山桐子(Idesia polycarpa Maxim)果实多酚的抗炎、抗菌活性研究[J]. 植物研究, 2016, 36(6): 955-960. |
| [13] | 周琳;张会慧;魏殿文;张悦*. 施肥对蓝莓植株生长、叶片叶绿素荧光特性和果实品质的影响[J]. 植物研究, 2015, 35(6): 854-859. |
| [14] | 王晓冬;贺国强;赵利群;胡彦波;李长海*. 遮阴对树莓光合特性和果实性状的影响[J]. 植物研究, 2014, 34(5): 599-603. |
| [15] | 李玲玲;李凤日;贾炜玮;董利虎. 红松人工林林木果实产量预估模型[J]. 植物研究, 2014, 34(3): 349-355. |
| 阅读次数 | ||||||
|
全文 |
|
|||||
|
摘要 |
|
|||||