Bulletin of Botanical Research ›› 2025, Vol. 45 ›› Issue (4): 636-647.doi: 10.7525/j.issn.1673-5102.2025.04.015
• Original Paper • Previous Articles Next Articles
Yan SHEN1, Xiaoyu TANG2, Xiujun TANG3, Lilin LUO1, Zhenxing HUANG1, Man LIU1()
Received:
2024-12-24
Online:
2025-07-20
Published:
2025-07-25
Contact:
Man LIU
E-mail:freemyself516@hotmail.com
CLC Number:
Yan SHEN, Xiaoyu TANG, Xiujun TANG, Lilin LUO, Zhenxing HUANG, Man LIU. Rhythms of Nectar Secretion, Morphological Characteristics of Developmental Floral Nectary in Rubus setchuenensis[J]. Bulletin of Botanical Research, 2025, 45(4): 636-647.
Table 1
Nectar volume secreted monthly by a single flower of R. setchuenensis during flowering period
时段 Period | 单朵花泌蜜量 Nectar volume /μL | ||||||
---|---|---|---|---|---|---|---|
6月 June | 7月 July | 8月 August | 9月 September | 10月 October | 11月 November | ||
第1天 On the first day | 08:00—09:00 | 13.02±1.07Ab | 14.00±1.01Aa | 13.20±1.15Ab | 13.16±0.87Ab | 8.22±0.95Ac | 8.00±0.86Ad |
13:00—14:00 | 8.00±0.75Bc | 7.05±0.80Be | 11.31±1.08Bb | 12.20±1.06Ba | 7.84±0.80Bc | 7.33±1.20Bd | |
17:00—18:00 | 6.45±0.78Ca | 5.66±0.53Cb | 6.42±0.59Ca | 4.71±0.79Cd | 5.17±0.62Cc | 4.36±0.75Ce | |
第1天合计 Total on the first day | 27.47±0.41 | 26.71±0.21 | 30.93±0.17 | 30.07±0.46 | 21.23±0.80 | 19.69±0.79 | |
第2天 On the second day | 08:00—09:00 | 4.01±0.46Db | 4.46±0.68Da | 3.18±0.43De | 3.36±0.48Dd | 3.41±0.76Dd | 3.54±0.62Dc |
13:00—14:00 | 0.24±0.11Ec | 0.21±0.08Ec | 0.20±0.07Ec | 0.21±0.06Ec | 2.36±0.37Eb | 2.89±0.39Ea | |
17:00—18:00 | 0 | 0 | 0 | 0 | 0 | 0 | |
第2天合计 Total on the second day | 4.25±0.25 | 4.67±0.61 | 3.38±0.47 | 3.57±0.61 | 5.77±0.36 | 6.43±0.56 | |
总合计 Total | 31.72±1.52c | 31.38±1.66c | 34.32±1.85a | 33.63±1.52b | 27.00±1.72d | 26.12±2.28e |
Table 2
Sugar mass of nectar secreted monthly by a single flower of R. setchuenensis during flowering period
时段 Period | 单朵花花蜜含糖量 Nectar sugar mass/mg | ||||||
---|---|---|---|---|---|---|---|
6月 June | 7月 July | 8月 August | 9月 September | 10月 October | 11月 November | ||
第1天 On the first day | 08:00—09:00 | 3.40±0.33Ab | 3.83±0.36Aa | 3.23±0.31Bc | 3.03±0.19Bd | 1.47±0.20Be | 1.12±0.17Bf |
13:00—14:00 | 2.49±0.23Bc | 2.35±0.29Bd | 3.71±0.35Ab | 3.83±0.28Aa | 1.92±0.25Ae | 1.30±0.22Af | |
17:00—18:00 | 1.84±0.25Ca | 1.65±0.18Cb | 1.67±0.19Cb | 1.14±0.20Cc | 0.86±0.11Cd | 0.70±0.13Ce | |
第1天合计 Total on the first day | 7.73±0.26 | 7.83±0.30 | 8.61±0.32 | 8.00±0.23 | 4.25±0.19 | 3.02±0.19 | |
第2天 On the second day | 08:00—09:00 | 0.59±0.08Db | 0.72±0.12Da | 0.45±0.07Dc | 0.41±0.06Dd | 0.42±0.11Dd | 0.39±0.08De |
13:00—14:00 | 0.02±0.01Eb | 0.02±0.01Eb | 0.02±0.01Ec | 0.02±0.01Ec | 0.15±0.03Ea | 0.15±0.02Ea | |
17:00—18:00 | 0 | 0 | 0 | 0 | 0 | 0 | |
第2天合计 Total on the second day | 0.61±0.05 | 0.74±0.08 | 0.47±0.04 | 0.43±0.05 | 0.57±0.08 | 0.54±0.05 | |
总合计 Total | 8.34±0.45d | 8.57±0.51b | 9.08±0.57a | 8.43±0.38c | 4.83±0.39e | 3.56±0.39f |
Table 3
Temperature and relative air humidity at the sampling site during nectar secretion monitoring
时段 Period | 温度 Temperature/℃ | ||||||
---|---|---|---|---|---|---|---|
6月 June | 7月 July | 8月 August | 9月 September | 10月 October | 11月 November | ||
第1天 On the first day | 08:00—09:00 | 24.5±0.5ab | 25.8±0.8a | 25.0±0.5ab | 22.8±0.8b | 19.0±3.0c | 11.7±1.5d |
13:00—14:00 | 33.5±0.5a | 35.0±1.0a | 31.0±1.0b | 30.2±0.8b | 25.7±2.1c | 18.0±2.0d | |
17:00—18:00 | 25.8±0.8ab | 27.2±1.0a | 25.2±0.8ab | 23.8±0.8b | 19.3±1.5c | 10.7±2.1d | |
第2天 On the second day | 08:00—09:00 | 23.0±1.0ab | 25.2±1.0a | 23.8±0.8ab | 22.0±1.0b | 18.0±2.0c | 10.3±1.5d |
13:00—14:00 | 33.0±1.0a | 32.0±1.0a | 30.8±0.8ab | 29.2±0.8b | 26.7±2.1c | 17.7±1.5d | |
时段 Period | 湿度 Humidity/% | ||||||
6月 June | 7月 July | 8月 August | 9月 September | 10月 October | 11月 November | ||
第1天 On the first day | 08:00—09:00 | 76.5±1.8d | 69.2±1.3e | 80.8±1.0c | 82.3±1.0c | 85.8±0.7b | 90.5±1.4a |
13:00—14:00 | 65.2±1.3d | 56.2±1.0e | 69.2±0.4c | 70.6±1.2c | 78.6±0.8b | 81.3±1.2a | |
17:00—18:00 | 75.2±1.1e | 68.4±1.4f | 78.4±0.9d | 80.8±0.8c | 84.4±1.2b | 88.5±1.1a | |
第2天 On the second day | 08:00—09:00 | 78.6±0.6d | 74.6±1.4e | 79.2±0.4d | 81.4±1.3c | 89.6±1.1b | 91.9±0.9a |
13:00—14:00 | 68.4±1.2e | 55.9±1.9f | 68.5±0.8d | 71.4±0.9c | 76.6±1.2b | 82.4±1.4a |
Fig.2
Position and structure of floral nectary of R.setchuenensisA. Floral nectary of R. setchuenensis at full blooming stage(the tissue in box was the electron microscope shooting site of nectary epidermis); B. Longitudinal cutting of floral nectary at the young bud stage(PAS); C. Longitudinal cutting of floral nectary at the flower bud stage (PAS); D,E. Local enlarged map in longitudinal section B of nectary in young bud stage of R. setchuenensis. N. Nectary; Sta. Stamen; Ca. Calyx; Pe. Petal; O. Ovary.
Table 4
Nectary size of R. setchuenensis at different flowering stages
时期 stage | 花蜜腺厚度 Thickness of floral nectary/μm | 花蜜腺长度(纵切) Length of floral nectary (longitudinal cutting)/μm |
---|---|---|
幼蕾期 Young bud stage | 130.98±24.21e | 650.77±114.73b |
花蕾期 Flower bud stage | 555.75±10.70b | 2 545.40±100.66a |
初花期 Initial flowering stage | 653.43±45.24a | 2 563.06±17.57a |
盛花期 Full blooming stage | 290.14±24.54d | 2 613.26±58.72a |
散粉后期 Post anthesis stage | 478.32±54.29c | 2 755.94±219.51a |
Table 5
Stomatal traits of nectary epidermis of R. setchuenensis at different flowering stages
时期 stage | 气孔长度 Length of stomata/μm | 气孔宽度 Width of stomata/μm | 气孔面积 Surface area of stomata/μm2 | 气孔开口面积 Stomatal aperture area/μm2 | 气孔复合体最大直径 Maximum diameter of stomatal complex/μm | 气孔复合体最小直径 Minimum diameter of stomatal complex/μm | 气孔密度 Stomatal density/ (个·mm-2) |
---|---|---|---|---|---|---|---|
幼蕾期 Young bud stage | — | — | — | — | — | — | 0 |
花蕾期 Flower bud stage | 6.83±1.17a | 4.96±1.34ab | 32.36±11.99a | 3.48±2.98b | 11.19±2.27a | 9.31±2.38ab | 141.00±14.73c |
初花期 Initial flowering stage | 7.86±1.40a | 5.85±0.80a | 37.40±8.86a | 9.19±3.28a | 12.41±2.72a | 10.77±1.97a | 174.33±23.76c |
盛花期 Full blooming stage | 6.80±0.87a | 5.46±0.73ab | 35.78±7.09a | 7.52±3.08a | 10.64±2.02a | 8.14±1.79b | 258.33±19.60b |
散粉后期 Post anthesis stage | 6.70±1.44a | 4.60±0.64b | 26.53±7.04a | 2.19±1.22b | 10.31±2.85a | 8.34±0.92b | 301.67±10.50a |
Fig.4
Morphological charateristics of floral nectary of R. setchuenensis at different flowering stagesA. Young bud stage; B、F. Flower bud stage; C. Initial flowering stage; D. Full blooming stage; E. Post anthesis stage(A-F were saffron solid green staining). Ep. Epidermis; Vb. Vascular bundle; N. Nectary.
Table 6
Anatomical structure parameters of floral nectary of R. setchuenensis at different flowering stages
时期 Stage | 表皮细胞宽度 Width of nectary epidermis cells/μm | 表皮细胞厚度 Thickness of nectary epidermis cells/μm | 薄壁细胞层数 Number of nectary parench- yma layers | 薄壁细胞层厚度 Thickness of nectary parench- yma layer/μm | 薄壁细胞直径 Diameter of nectary parench- yma cells/μm | 下薄壁细胞层数 Number of subnectary paren- chyma layers | 下薄壁细胞层厚度 Thickness of subnectary paren- chyma layer/μm | 下薄壁细胞直径 Diameter of the subnectary paren- chyma cells/μm |
---|---|---|---|---|---|---|---|---|
幼蕾期 Young bud stage | 22.60±2.89a | 15.21±3.22c | 6.00±1.00b | 87.83±12.23e | 13.39±3.83c | 11.00±2.19a | 502.00±108.43b | 69.91±21.38ab |
花蕾期 Flower bud stage | 23.82±5.27a | 18.48±0.86ab | 14.67±1.53a | 572.49±20.68b | 37.72±15.34a | 8.60±0.89b | 786.41±110.60a | 50.01±6.83c |
初花期 Initial flowering stage | 28.00±4.00a | 20.88±2.49a | 15.00±1.00a | 629.88±46.59a | 37.52±8.53a | 8.60±0.89b | 438.80±55.35b | 78.61±17.99a |
盛花期 Full blooming stage | 28.77±8.50a | 19.86±3.61ab | 15.00±1.00a | 274.42±22.54d | 25.35±7.44b | 8.67±0.82b | 506.17±98.14b | 58.67±15.99bc |
散粉后期 Post anthesis stage | 28.90±7.27a | 17.35±1.59bc | 14.67±1.53a | 458.48±42.14c | 40.91±11.29a | 8.67±0.82b | 400.73±59.43b | 58.62±22.19bc |
Fig.5
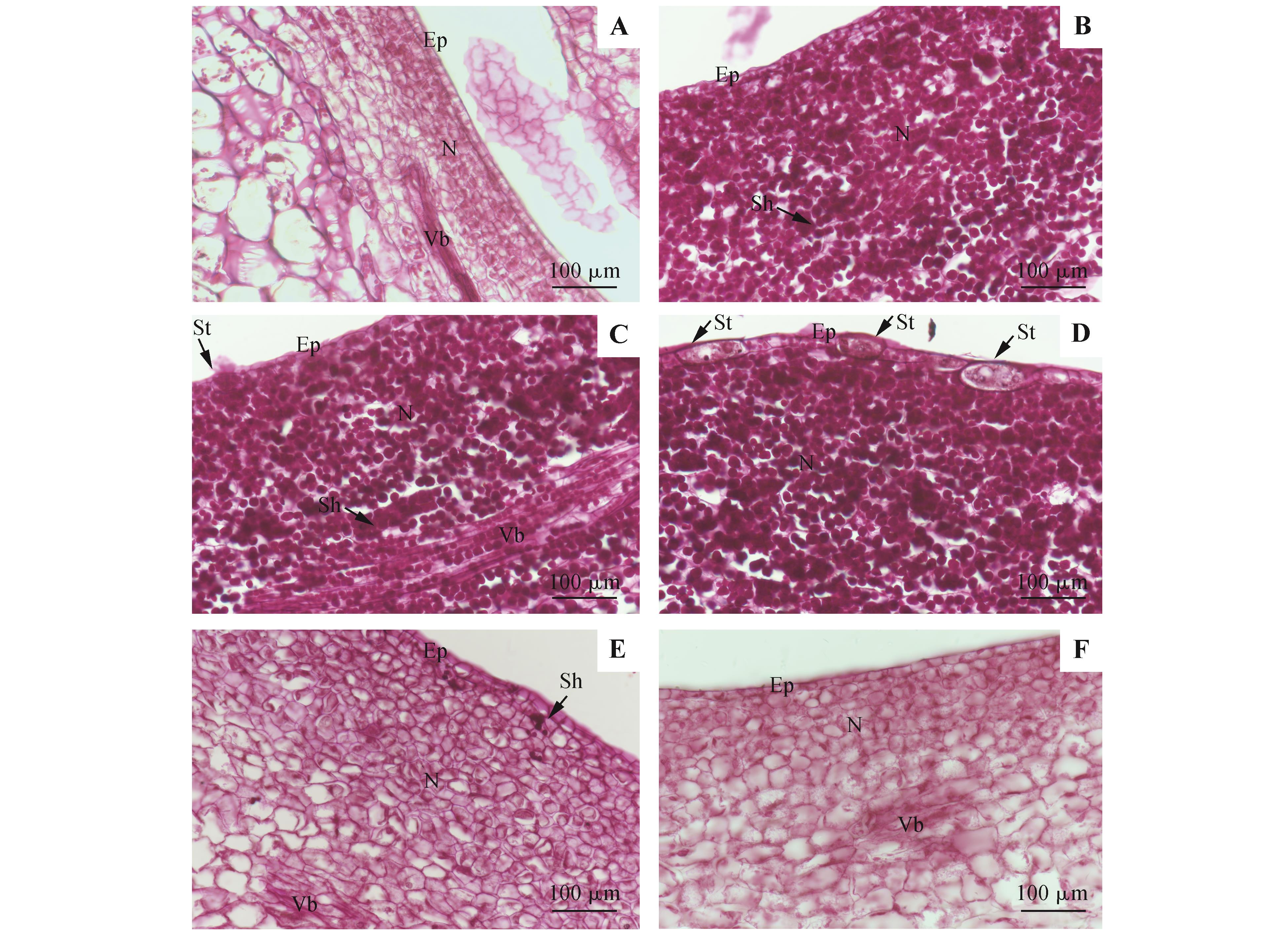
Intracellular starch granule dynamics of floral nectary of R. setchuenensis at different flowering stagesA. Young bud stage; B. Flower bud stage; C-D. Initial flowering stage; E. Full blooming stage; F. Post anthesis stage (A-F were PAS staining). Ep, Epidermis; Vb. Vascular bundle; N. Nectary; St. Stomata; Sh. Starch granule.
[1] | 中国科学院中国植物志编辑委员会.中国植物志:第三十七卷[M].北京: 科学出版社,1985:11-212. |
Flora of China Editorial Committee.Flora of China:Vol. 37[M].Beijing:Science Press,1985:11-212. | |
[2] | 王秋萍.云南悬钩子属植物的分类修订[D].昆明:云南大学,2021. |
WANG Q P.Taxonomical revision on Yunnan Rubus (Rosaceae)[D].Kunming:Yunnan University,2021. | |
[3] | 张洪魁.中国中药资源志要[M].北京:科学出版社,1994:536. |
ZHANG H K.Chinese traditional medicine resources[M].Beijing:Science Press,1994:536. | |
[4] | 黄可新,张晓瑢,王明奎,等.川莓的化学成分[J].应用与环境生物学报,2000,6(2):194-196. |
HUANG K X, ZHANG X R, WANG M K,et al.Chemical constituents from Rubus setchuenensis [J].Chinese Journal of Applied and Environmental Biology,2000,6(2):194-196. | |
[5] | ZHU Y A, LI C H, WANG S Y,et al.The complete chloroplast genome of Rubus setchuenensis,an edible and medicinal dual-purpose wild plant[J].Mitochondrial DNA Part B,2022,7(1):228-230. |
[6] | 凌立贞,张敏,熊欢,等.响应面法优化川莓原花青素提取工艺研究[J/OL].分子植物育种,(2024-03-15)[2024-11-17].. |
LING L Z, ZHANG M, XIONG H,et al.Optimization of extraction conditions for proanthocyanins from Rubus setchuenensis using response surface methodology[J/OL].Molecular Plant Breeding,(2024-03-15)[2024-11-17].. | |
[7] | 蒙惠理,兰洪波,姚雾清,等.茂兰喀斯特森林木本蜜源植物资源初步调查[J].山地农业生物学报,2023,42(2):52-57. |
MENG H L, LAN H B, YAO W Q,et al.Preliminary investigation of woody nectar plant resources in Maolan Karst Forest[J].Journal of Mountain Agriculture and Biology,2023,42(2):52-57. | |
[8] | 徐祖荫,石磊.蔷薇科的3种辅助蜜粉源植物[J].蜜蜂杂志,2019,39(9):14. |
XU Z Y, SHI L.Three auxiliary nectar plants of Rosaceae[J].Journal of Bee,2019,39(9):14. | |
[9] | ADGABA N, AL-GHAMDI A, TADESSE Y,et al.Nectar secretion dynamics and honey production potentials of some major honey plants in Saudi Arabia[J].Saudi Journal of Biological Sciences,2017,24(1):180-191. |
[10] | 李婧,肖秋生,申济源,等.荔枝花蜜分泌规律及可溶性糖组分和含量的分析[J].热带亚热带植物学报,2018,26(5):490-496. |
LI J, XIAO Q S, SHEN J Y,et al.Analysis of secretion pattern and soluble sugar composition and contents in litchi nectar[J].Journal of Tropical and Subtropical Botany,2018,26(5):490-496. | |
[11] | 庞春秀,丁桂玲,国占宝,等.米团花的开花与泌蜜规律[J].中国蜂业,2023,74(2):61-65. |
PANG C X, DING G L, GUO Z B,et al.The characteristics of flowering and nectar secretion in Leucosceptrum canum Smith[J].Apiculture of China,2023,74(2):61-65. | |
[12] | PETANIDOU T, SMETS E.Does temperature stress induce nectar secretion in Mediterranean plants?[J].New Phytologist,1996,133(3):513-518. |
[13] | CASTELLANOS M C, WILSON P, THOMSON J D.Dynamic nectar replenishment in flowers of Penstemon (Scrophulariaceae)[J].American Journal of Botany,2002,89(1):111-118. |
[14] | GALETTO L, BERNARDELLO G.Floral nectaries,nectar production dynamics and chemical composition in six Ipomoea species (Convolvulaceae) in relation to pollinators[J].Annals of botany,2004,94(2):269-280. |
[15] | POWER E F, STABLER D, BORLAND A M,et al.Analysis of nectar from low-volume flowers:a comparison of collection methods for free amino acids[J].Methods in Ecology and Evolution,2018,9(3):734-743. |
[16] | 舒金帅,刘玉梅,李占省,等.植物蜜腺研究进展及展望[J].园艺学报,2014,41(9):1846-1860. |
SHU J S, LIU Y M, LI Z S,et al.Advances and perspectives in plant nectaries studies[J].Acta Horticulturae Sinica,2014,41(9):1846-1860. | |
[17] | STEVENSON P C, NICOLSON S W, WRIGHT G A.Plant secondary metabolites in nectar:impacts on pollinators and ecological functions[J].Functional Ecology,2017,31(1):65-75. |
[18] | 石秋梅,尹传华,王虹,等.白麻花蜜腺及花瓣乳突细胞的发育解剖学研究[J].西北农业学报,2022,31(10):1381-1388. |
SHI Q M, YIN C H, WANG H,et al.Development and anatomy of floral nectaries and petals papillae in Apocynum pictum [J].Acta Agriculturae Boreali-Occidentalis Sinica,2022,31(10):1381-1388. | |
[19] | 提忠慧,王明玖,张慧敏,等.高加索三叶草花蜜腺发育解剖及小花糖分变化研究[J].西北植物学报,2024,44(8):1305-1311. |
TI Z H, WANG M J, ZHANG H M,et al.Anatomical study of nectar gland development and changes in sugar content in Trifolium ambiguum Bieb.[J].Acta Botanica Boreali-Occidentalia Sinica,2024,44(8):1305-1311. | |
[20] | WERYSZKO-CHMIELEWSKA E, KONARSKA A.Anatomy of the floral nectaries of 9 species from subf. Pomoideae (Rosaceae)[J].Acta Agrobotanica,1996,49(1/2):95-105. |
[21] | KOSTRYCO M, CHWIL M.Nectar secretion,morphology,anatomy and ultrastructure of floral nectary in selected Rubus idaeus L.varieties[J].Agriculture,2022,12(7):1017. |
[22] | 文诗嘉,邓敏学,吴丁,等.獐牙菜属四种植物花蜜特征的比较[J].生物多样性,2024,32(1):23297. |
WEN S J, DENG M X, WU D,et al.Comparative floral nectar attributes in four Swertia species (Gentianaceae)[J].Biodiversity Science,2024,32(1):23297. | |
[23] | 康云艳,宋爱婷,柴喜荣,等.黄瓜幼苗茎段石蜡切片制作和番红染色实验方法改进[J].实验技术与管理,2022,39(1):182-184. |
KANG Y Y, SONG A T, CHAI X R,et al.New protocols for paraffin sections and safranine staining of cucumber stems[J].Experimental Technology and Management,2022,39(1):182-184. | |
[24] | 陈阳,金一锋,孙华山,等.草地早熟禾的石蜡切片制作技术的优化[J].草地学报,2017,25(6):1376-1379. |
CHEN Y, JIN Y F, SUN H S,et al.Optimization of paraffin section preparation for kentucky bluegrass[J].Acta Agrestia Sinica,2017,25(6):1376-1379. | |
[25] | 吴冬梅,吴艳霞,陈永华.改良高碘酸-无色品红染色方法(PAS)改善染色效果观察[J].吉林医学,2017,38(8):1405-1406. |
WU D M, WU Y X, CHEN Y H,et al.Improvement of acid violet fuchsin dyeing(PAS) method to improve PAS staining[J].Jilin Medical Journal,2017,38(8):1405-1406. | |
[26] | 刘林德,李玮,祝宁,等.刺五加、短梗五加的花蜜分泌节律、花蜜成分及访花者多样性的比较研究[J].生态学报,2002,22(6):847-853. |
LIU L D, LI W, ZHU N,et al.The relations among the nectar secretive rhythms,nectar compositions and diversities of floral visitors for both Eleutherococcus senticosus and E.sessiliflorus [J].Acta Ecologica Sinica,2002,22(6):847-853. | |
[27] | 孙颖,卓丽环.百子莲的花蜜分泌节律及传粉效率影响因素的研究[J].上海农业学报,2009,25(2):36-40. |
SUN Y, ZHUO L H.The nectar secretion rhythms and influencing factors of pollination efficiency of Agapanthus africanus ssp.orientalis‘Big Blue’[J].Acta Agriculturae Shanghai,2009,25(2):36-40. | |
[28] | WYATT R, BROYLES S B, DERDA G S.Environmental influences on nectar production in milkweeds (Asclepias syriaca and A.exaltata)[J].American Journal of Botany,1992,79(6):636-642. |
[29] | FAHN A.Secretory tissues in plants[M].London:Academic Press,1979:51-113. |
[30] | DURKEE L T, GAAL D J, REISNER W H.The floral and extra-floral nectaries of Passiflora.I.The floral nectary[J].American Journal of Botany,1981,68(4):453-462. |
[31] | 王虹,邹玲,张卫红,等.异株百里香花蜜腺的发育解剖学研究[J].植物研究,2012,32(5):544-548. |
WANG H, ZOU L, ZHANG W H,et al.Developmental anatomy of floral nectary in Thymus marschallianus Willd[J].Bulletin of Botanical Research,2012,32(5):544-548. | |
[32] | 王虹,吴晶,邓彦斌.杏花蜜腺的发育解剖学研究[J].植物研究,2002,22(4):456-458. |
WANG H, WU J, DENG Y B.The developmental and anatomical studies on the floral nectary in Armeniaca vulgaris lam[J].Bulletin of Botanical Research,2002,22(4):456-458. | |
[33] | 李雪,杨明华,夏永学,等.香叶天竺葵花蜜腺形态结构及发育解剖学研究[J].西北农业学报,2018,27(4):474-479. |
LI X, YANG M H, XIA Y X,et al.Studies on morphological structure and developmental anatomy of floral nectary in Pelargonium graveolens L.[J].Acta Agriculturae Boreali-Occidentalis Sinica,2018,27(4):474-479. | |
[34] | 陶世蓉,辛华,曹玉芳.白香草木樨花蜜腺的发育解剖学研究[J].山东科学,2000(3):30-33. |
TAO S R, XIN H, CAO Y F.The study on developmental anatomy of the floral nectary in Melilotus albus [J].Shandong Science,2000(3):30-33. | |
[35] | 王颖,荀守华,毛秀红,等.刺槐花蜜腺发育解剖学研究[J].干旱区资源与环境,2019,33(5):171-175. |
WANG Y, XUN S H, MAO X H,et al.Study on the development and anatomical of floral nectary of Robinia pseudoacacia [J].Journal of Arid Land Resources and Environment,2019,33(5):171-175. | |
[36] | 郭骏,王虹,张卫红,等.新疆鼠尾草花蜜腺的发育解剖学研究[J].植物研究,2012,32(6):641-645. |
GUO J, WANG H, ZHANG W H,et al.Developmental anatomy of the floral nectaries in Salvia deserta Schang[J].Bulletin of Botanical Research,2012,32(6):641-645. | |
[37] | 耿华美,付强,郭骏,等.垂花青兰花蜜腺的发育解剖学研究[J].植物研究,2012,32(1):22-27. |
GENG H M, FU Q, GUO J,et al.Developmental anatomy of the floral nectaries in Dracocephalum nutans Linn.[J].Bulletin of Botanical Research,2012,32(1):22-27. | |
[38] | 崔大方,赵晟,黄盛丰.龙眼花蜜腺的发育解剖学研究[J].西北植物学报,2003,23(7):1188-1194. |
CUI D F, ZHAO S, HUANG S F.Study on developmental anatomy of the floral nectary in Dimocarpus longan [J].Acta Botanica Boreali-Occidentalia Sinica,2003,23(7):1188-1194. | |
[39] | 辛华,胡正海.烟草花蜜腺发育的解剖学研究[J].广西植物,2001,21(3):236-238. |
XIN H, HU Z H.Anatomical studies on the development of the floral nectary of Nicotiana tabacum [J].Guihaia,2001,21(3):236-238. |
[1] | GOU Jun;WANG Hong*;ZHANG Wei-Hong;WANG Jiang. Developmental Anatomy of the Floral Nectaries in Salvia deserta Schang [J]. Bulletin of Botanical Research, 2012, 32(6): 641-645. |
[2] | WANG Hong;ZOU Ling*;ZHANG Wei-Hong;YANG Jie;FU Qiang. Developmental Anatomy of Floral Nectary in Thymus marschallianus Willd [J]. Bulletin of Botanical Research, 2012, 32(5): 544-548. |
[3] | GENG Hua-Mei;FU Qiang;GUO Jun;WANG Hong*. Developmental Anatomy of the Floral Nectaries in Dracocephalum nutans Linn. [J]. Bulletin of Botanical Research, 2012, 32(1): 22-27. |
[4] | WANG Hong;KUANG Dai-Liang;SUO Fei-Ya;DU Hong-Wei;WANG Yong-Xin*. Developmental Anatomy of the Floral Nectaries in Nitraria tangutorum Bobrov [J]. Bulletin of Botanical Research, 2011, 31(1): 24-28. |
[5] | WANG Hong;WANG Xin;WANG Yong-Xing;YANG Bin-Yin;JIANG Yan-Cheng*. Developmental Anatomy of the Floral Nectaries in Calligonum ebi-nuricum [J]. Bulletin of Botanical Research, 2010, 30(3): 262-266. |
[6] | WANG Hong, ZHANG Fu-Chun. Developmental and anatomical studies on the floral nectaries in Ferula sinkiangensts K.M.Shen [J]. Bulletin of Botanical Research, 2004, 24(4): 406-409. |
[7] | WANG Hong, WU Jing, DENG Yan-bin. THE DEVELOPMENTAL AND ANATOMICAL STUDIES ON THE FLORAL NECTARY IN ARMENIACA VULGARIS LAM [J]. Bulletin of Botanical Research, 2002, 22(4): 456-458. |
[8] | Deng Yan-bin, Liu Zhong-yuan, Jiang Yan-cheng, Wang Hong. DEVELOPMENTAL AND ANATOMICAL STUDIES ON THE FLORAL NECTARIES IN ELAEAGNUS ANGUSTIFOLIA [J]. Bulletin of Botanical Research, 1998, 18(1): 34-37. |
Viewed | ||||||
Full text |
|
|||||
Abstract |
|
|||||